Le sarcome de Kaposi

Le sarcome de Kaposi, ou maladie de Kaposi, est un cancer siégeant essentiellement sur la peau mais également sur les muqueuses et au niveau d’autres organes situés à l’intérieur du corps, comme le tube digestif ou les poumons. Il existe plusieurs types de sarcome de Kaposi mais tous ont en commun une origine virale par le virus de l’herpès humain de type 8 (HHV-8). Une co-infection par le virus de l’immunodéficience humaine (VIH) est fréquente. La prise en charge est variable selon le contexte et la gravité des symptômes.
Définition et symptômes du sarcome de Kaposi
Qu’est-ce que c’est ?
Le sarcome de Kaposi est un cancer lié à l’infection par le virus de l’herpès humain de type 8 (HHV-8).
Le plus souvent, les lésions commencent par prendre place sur la peau, de telle sorte que certains auteurs rangent le sarcome de Kaposi avec les autres cancers cutanés.
Sur le plan physiopathologique, il s’agirait d’une prolifération anormale de cellules endothéliales, autrement dit les cellules qui tapissent l’intérieur de tous nos vaisseaux. Le sarcome de Kaposi est donc également défini comme étant une tumeur vasculaire.
Attention, certains scientifiques ne considèrent pas tout à fait le sarcome de Kaposi comme une tumeur maligne ou un cancer et préfèrent parler de maladie de Kaposi.
Initialement, le sarcome de Kaposi a été décrit dans sa forme classique par un dermatologue hongrois qui s’appelait Moritz Kaposi. Par la suite, la maladie a été médiatisée car elle est souvent associée à l’infection par le virus de l’immunodéficience humaine (VIH).
À savoir ! Ne pas confondre le sarcome de Kaposi avec le syndrome de Kaposi-Juliusberg. Aussi appelé pustulose varioliforme, c’est une complication rare mais grave de certaines dermatoses et notamment de la dermatite atopique. Plus précisément, il s’agit d’une surinfection de la peau par le virus de l’herpès, pouvant s’accompagner de symptômes généraux comme de la fièvre et nécessitant une prise en charge médicale en urgence. À savoir ! Il existe plusieurs types de cancers en fonction de l’histologie, c’est-à-dire selon la nature du tissu dans lequel ils prennent naissance. En particulier, les sarcomes se développent dans les tissus dits conjonctifs.Quelles sont les différentes formes du sarcome de Kaposi ?
On distingue plusieurs formes du sarcome de Kaposi :
- La forme classique : elle touche les personnes âgées, essentiellement des hommes, issues du pourtour méditerranéen ou d’Europe de l’Est. Le sarcome de Kaposi classique est marqué par la présence de lésions cutanées, surtout sur les membres inférieurs. C’est une maladie non mortelle qui progresse très lentement ;
- La forme endémique: elle est présente dans certains pays d’Afrique, où de nombreuses personnes sont porteuses du virus HHV-8. La forme pédiatrique touche les ganglions et les viscères, elle est en général rapidement fatale. La forme adulte ressemble à la forme classique ;
- La forme iatrogène: aussi appelée forme du transplanté, elle apparait plusieurs mois ou plusieurs années après la transplantation et résulte de l’utilisation des immunosuppresseurs ;
- La forme épidémique: la plus connue, c’est celle qui est associée à l’infection par le VIH. Plus aggressive que la forme classique, elle touche aussi bien la peau, les muqueuses, les ganglions et les viscères.
Quels sont les symptômes du sarcome de Kaposi ?
Les signes cliniques du sarcome de Kaposi sont très variables. Il peut s’agir d’une maladie localisée ou généralisée :
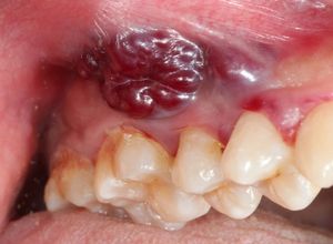
- Atteinte cutanée: le sarcome de Kaposi conduit à l’apparition de taches ou de plaques sur le corps. Le plus souvent, ces macules sont de couleur rouge ou bleu violacé, et peuvent ressembler à des hématomes. Ces taches font du sarcome de Kaposi une maladie affichante et peuvent dans certains cas prendre du relief pour devenir de véritatables nodules cutanés ;
- Atteinte muqueuse: les taches et les lésions peuvent concerner plusieurs muqueuses notamment buccale, oculaire et génitale ;
- Atteinte ganglionnaire et viscérale: les symptômes dépendent de l’organe atteint. Ainsi, en cas d’atteinte digestive, le patient peut souffrir de douleurs abdominales, de diarrhées… En cas d’atteinte pulmonaire, le patient se plaint généralement d’une toux, d’un essoufflement…
Causes
Quelles sont les causes du sarcome de Kap si ?
Tous les sarcomes de Kaposi sont dus à l’infection par l’HHV-8. Mais attention, la réciproque n’est pas vraie. En effet, l’infection est nécessaire mais pas suffisante, et de nombreuses personnes sont porteuses de l’HHV-8 sans développer la maladie. Ce sont des porteurs asymptomatiques.
L’HHV-8, autrement dit virus de l’herpès humain de type 8, est également appelé KSHV pour herpes virus associé au sarcome de Kaposi. C’est un virus qui se transmet de différentes manières, notamment par voie sexuelle, par la salive, par voie materno-fœtale ou au cours d’une transplantation d’organes.
À savoir ! Il existe plusieurs types d’herpèsvirus humains. Outre l’HHV-8, les types 1 et 2 sont à l’origine de l’herpès buccal et génital, le type 3 provoque la varicelle et le zona, le type 4 est appelé Epstein Barr Virus (EBV) et conduit à la mononucléose, le type 5 s’appelle Cytomégalovirus (CMV) et s’avère dangereux pour les immunodéprimés et les femmes enceintes, les types 6 et 7 sont responsables de la roséole. À savoir ! Etant donné qu’il provoque un cancer, l’HHV-8 est un virus oncogène. À savoir ! L’HHV-8 est également à l’origine d’autres maladies comme la maladie de Castelman qui touche les ganglions.Le principal facteur de risque du sarcome de Kaposi est l’immunodépression, notamment celle liée à l’âge (forme classique), aux conditions de vie (forme endémique), au VIH (forme épidémique) ou aux immunosuppresseurs (forme iatrogène). En effet, l’affaiblissement du système immunitaire ne permet pas de garder le virus HHV-8 sous contrôle.
À savoir ! Le sarcome de Kaposi est une maladie dite opportuniste car elle se développe préférentiellement chez les personnes dont le système immunitaire est affaibli.Diagnostic et traitement du sarcome de Kaposi
Comment poser le diagnostic du sarcome de Kaposi ?
Les lésions cutanées associées au sarcome de Kaposi sont souvent typiques et orientent le médecin. Cependant, comme tout cancer, le diagnostic devra être confirmé par une biopsie, c’est-à-dire le prélèvement puis l’analyse d’un échantillon de peau lésée.
Des examens complémentaires, et notamment une tomodensitométrie ou scanner, sont prescrits au cas par cas, en fonction du contexte et des signes cliniques.
Quels sont les traitements du sarcome de Kaposi ?
Le traitement dépend du type de sarcome de Kaposi.
En cas de lésions peu nombreuses et peu étendues : une abstention thérapeutique est possible. En cas de gêne fonctionnelle ou esthétique, le médecin peut proposer des traitements locaux comme l’exérèse chirurgicale, la cryothérapie (traitement par le froid), l’électrocoagulation (traitement par un courant electrique), ou encore la chimiothérapie intralésionnelle…
À savoir ! le traitement local n’empêche pas la récidive. Des taches peuvent finir par réapparaitre.En cas d’atteinte plus diffuse, une chimiothérapie par voie intraveineuse est proposée.
Les personnes infectées par le VIH doivent bénéficier d’un traitement antirétroviral optimal pour espérer obtenir une régression des lésions généralement au bout de plusieurs mois, parfois en association à d’autres traitements. Le traitement antirétroviral combat le VIH (et non le HHV-8) et permet de restaurer l’immunité du patient.
En cas de sarcome de Kaposi d’origine iatrogène, l’arrêt ou la diminution des traitements immunosuppresseurs est envisagée pour permettre une régression des lésions.
– Maladie de Kaposi. arcagy.org. Consulté le 11 novembre 2021.
Cet article vous a-t-il été utile ?

